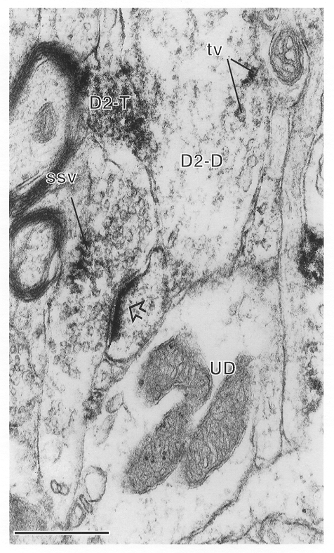
Figure 3
Immunoperoxidase labeling for dopamine D2 receptor at pre- and post-synaptic sites in the rat caudate-putamen nucleus.  Presynaptic labeling for the receptor is seen as diffuse peroxidase immunoreactivity around membranes of small synaptic vesicles (ssv) in an axon terminal that forms an asymmetric synapse with a dendritic spine that also shows intense peroxidase immunoreactivity associated with the postsynaptic membrane specialization (open arrowhead).  Another small axon terminal (D2-T) shows dark peroxidase reaction product and is apposed to dendrite (D2-D) that has immunoperoxidase labeling associated with tubulovesicles (tv). UD = unlabeled dendrite. Bar= 0.2 μm.

Back to Chapter

published 2000